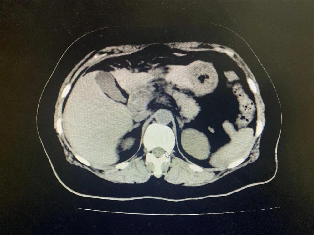
11月27日上午,吴女士(女,53岁)发生车祸,导致腹痛剧烈伴恶心呕吐、心慌胸闷。我院“120”急诊接入外一科抢救治疗,经腹部CT检查提示肝脏挫伤、胃及十二指肠挫伤、腹腔内出血。
该患者入院时腹痛剧烈、面色苍白。我院外一科副主任医师叶乃春带领团队迅速作出反应,考虑该患者腹腔内出血较多,随时有出血加重导致失血性休克风险,病情十分危重,立即组织手术室、麻醉科、检验科、影像科等多科会诊讨论,在最短时间内制定周密的手术方案。相关科室医护人员迅速做好术前准备,检验科做好备血,确保患者在最短时间内实施手术。

在手术中发现患者肝十二指肠韧带破裂、肝右叶(八段)挫伤伴血肿、胰头挫伤伴血肿、十二指肠挫伤伴血肿、腹膜后血肿、胃壁挫伤伴血肿、网膜挫伤、上腹壁挫伤。术中肝十二指肠韧带撕裂伤伴活动性出血,随给予肝十二指肠韧带修补,手术顺利完成。患者返回重症监护室,医护人员继续严密监测各项指标。目前生命体征稳定、患者神志清楚,各项指标明显好转并已转出重症监护室。

看到一名车祸外伤患者被成功抢救,我院外一科每位成员都由衷地高兴。其实,该科室还有很多这样惊心动魄、感人肺腑的事例发生。他们在工作中忘记疲倦与饥饿,行动上践行初心和使命,面对病情,他们“快速、有序、高效”,时刻彰显着我院医护团队扎实的抢救技术和多科室紧密协作的作战能力。
我院外一科相关负责人表示,今后,他们将不断提高复合性损伤的患者的综合救治能力,开展新技术新业务,将外一科做精做强,为更多患者提供更优质的医疗服务。
这例危重病人的抢救成功标志我院外一科救治复合外伤能力已达到市级水平,是我院又一例科室通力协作的成功范例,说明了医院整体应急能力经得起考验,体现了医院以人为本、生命至上的服务理念。未来,六安市叶集区人民医院(市六院)将一如既往地为区内老百姓的健康保驾护航。